Frontzahntrauma bei Kindern und Jugendlichen

Kurs 188

Prof. Dr. Gabriel Krastl
Anmeldung zum Kurs

Termin:

  • Fr. 29.01.2027 13:00-18:00 Uhr
  • Sa. 30.01.2027 09:00-15:00 Uhr

Veranstaltungsort: DGKiZ-Geschäftsstelle, Würzburg

Fortbildungspunkte: 12

© Dr. Sofia Rehling
© Prof. Krastl
© Prof. Krastl
© Prof. Krastl
© Prof. Krastl
© Prof. Krastl
© Prof. Krastl
© Prof. Krastl
© Prof. Krastl

Kursbeschreibung:

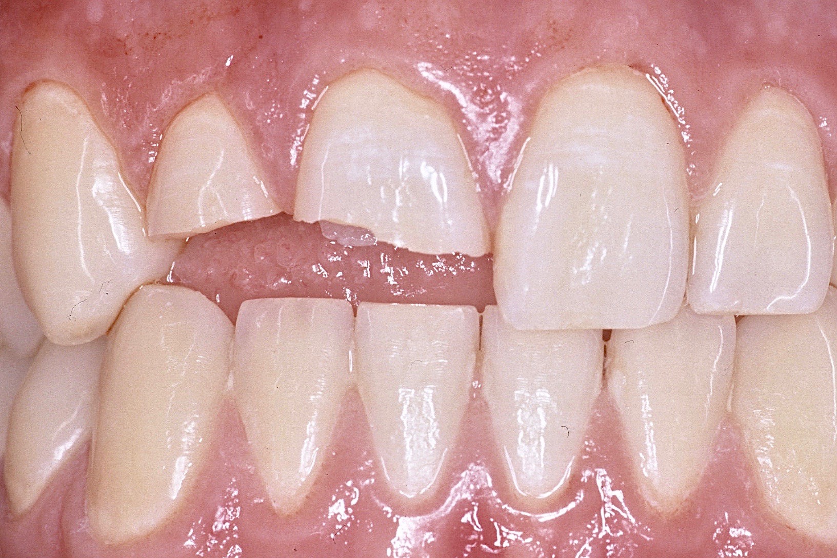
Ein Zahntrauma kann zum einschneidenden Erlebnis für den Betroffenen, oftmals ein Kind, werden. Während für den Patienten zunächst die Beseitigung der unmittelbaren Unfallfolgen im Vordergrund steht, muss der Behandler die oftmals weitreichenden Konsequenzen einzelner Therapieoptionen berücksichtigen. Generell geht es darum, alle 5 Gewebe (Zahnhartsubstanz, Endodont, Parodont, angrenzender Alveolarknochen und orale Weichgewebe), die bei einem Zahnunfall betroffen sein können zu berücksichtigen und für sich adäquat zu behandeln.

 

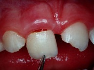
Bei der Therapie von Zahnfrakturen stehen aus endodontischer Sicht vitalerhaltende Maßnahmen im Vordergrund. Zähne mit nicht abgeschlossenem Wurzelwachstum können so ihr Wurzellängen und –dickenwachstum fortsetzen. Aus restaurativer Sicht gilt es Funktion und Ästhetik möglichst optimal wiederherzustellen. Die restaurative Versorgung von Kronen- Wurzel-Frakturen ist durch die subgingival liegenden Defektgrenzen massiv erschwert. Zur Defektdarstellung und Herstellung der biologischen Breite bieten sich verschiedene Alternativen an. In vielen Fällen ist eine kieferorthopädische oder chirurgische Extrusion ein sinnvoller Weg im Sinne der Zahnerhaltung.

 

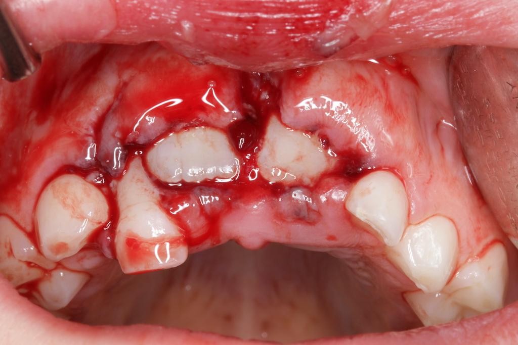
Insbesondere bei schwerwiegenden Verletzungen parodontaler Strukturen (Intrusionen und Avulsionen) ist mit einer hohen Gefahr von externen Wurzelresorptionen zu rechnen. Hier liegt die Förderung von Wundheilungsvorgängen der verletzten Gewebe im Fokus aller therapeutischen Bemühungen. Zellphysiologische Lagerungsmedien, Tetrazykline, Steroide, Schmelz-Matrix-Proteine und biokompatible Materialien sind einzelne Puzzleteilchen die sich zu neuen Therapiekonzepten ergänzen und in komplexen Fällen über Zahnerhalt oder Verlust entscheiden können.

 

Prof. Krastl, Gründer des ersten deutschen Zahnunfallzentrums in Würzburg, bietet einen tiefen Einblick in das klinische Behandlungskonzept: aktuell, prägnant, praxistauglich.

 

 

Hotels in unmittelbarer Nähe zur DGKiZ-Geschäftsstelle:

Premier Inn Würzburg  (Sonderkonditionen für Kursteilnehmer/innen der DGKiZ, bitte bei Buchung angeben: DGKiZ + 15024001)

AC-Hotel by Marriot Würzburg     

Moxy-Hotel by Marriot Würzburg

 

 

 

 

 

 

 

 

Kursgebühr:

Teilnehmer Preis
Zahnarzt/ärztin (DGKiZ-Mitglied)
495,00 €
Zahnarzt/ärztin (Nichtmitglied)
580,00 €

Referent:

Prof. Dr. Gabriel Krastl
Universitätsklinikum Würzburg

1993-1998 Studium der Zahnheilkunde in Tübingen 
1998-2005 Wissenschaftlicher Assistent und ab 2002 Oberarzt der Poliklinik für Zahnerhaltung, Universitätsklinikum Tübingen
2005-2014 Oberarzt, Klinik für Parodontologie, Endodontologie und Kariologie, Basel       
Leiter Fachgruppe Kariologie
2006-2014 Gründung und Leitung des Zahnunfall-Zentrums Basel zusammen mit Prof. Dr. A. Filippi
2012 Forschungsjahr Department of Oral Surgery / Biomaterials Unit, School of Dentistry, University of Birmingham, United Kingdom
seit 2014 Direktor der Poliklinik für Zahnerhaltung und Parodontologie der Universität Würzburg
seit 2015 Gründung und Leitung des Zahnunfallzentrums Würzburg

Prof. Dr. Gabriel Krastl

Kursrichtlinien:

Die maximale Teilnehmerzahl ist begrenzt. Die Kursplätze werden in der zeitlichen Reihenfolge der Anmeldungen vergeben. Sollte der Kurs ausgebucht sein, werden Sie darüber informiert und auf Wunsch auf eine Warteliste eingetragen. Falls die Mindestteilnehmerzahl nicht erreicht werden sollte, werden Sie spätestens 10 Tage vorher angeschrieben und die Kursgebühr vollständig zurückgezahlt.

Die Kursgebühr wird nach Erteilung eines SEPA-Mandats etwa 12 Wochen vor Kurstermin durch Lastschrift eingezogen. Wird der Kurs vom Teilnehmer/von der Teilnehmerin bzw. vom Anmelder ab dem Einzugstag bis 8 Wochen vor dem Kurstermin storniert, wird eine Bearbeitungsgebühr von 100,-- € fällig, die bei Rücküberweisung verrechnet wird. Die Stornierung eines gebuchten Kurses durch den/die Teilnehmer/in muss schriftlich erfolgen. Ab 8 Wochen vor dem Kursbeginn, sowie bei Nichterscheinen, ist die volle Kursgebühr zu bezahlen. Die Benennung eines Ersatzteilnehmers ist bis zum Kursbeginn möglich.

Falls eine Veranstaltung aufgrund "höherer Gewalt", Erkrankung des Referenten oder vergleichbar zwingenden Gründen abgesagt werden muss, werden die Teilnehmer schnellstmöglichst darüber informiert und bereits bezahlte Kursgebühren zurückerstattet.

Anmeldung zum Kurs