Frontzahnästhetik mit Komposit - der Weg zur unsichtbaren Restauration

Kurs 198

Prof. Dr. Gabriel Krastl
Anmeldung zum Kurs

Termin:

  • Fr. 11.12.2026 13:00-18:00 Uhr
  • Sa. 12.12.2026 09:00-15:00 Uhr

Veranstaltungsort: Fr: DGKiZ-Geschäftsstelle, Sa: Zahnklinik, Würzburg

Fortbildungspunkte: 15

© Prof. Krastl
© Prof. Krastl
© Prof. Krastl
© Prof. Krastl
© Prof. Krastl
© Prof. Krastl
© Prof. Krastl
© Prof. Krastl
© Dr. Dobersch
© Prof. Krastl
© Prof. Krastl
© Prof. Krastl
© Dr. Dobersch

Kursbeschreibung:

 

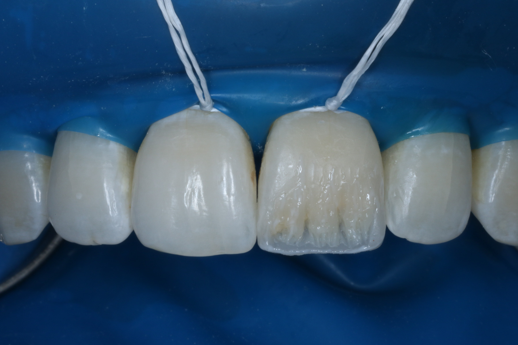
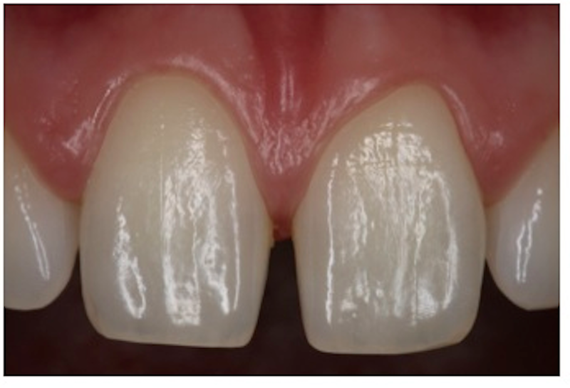
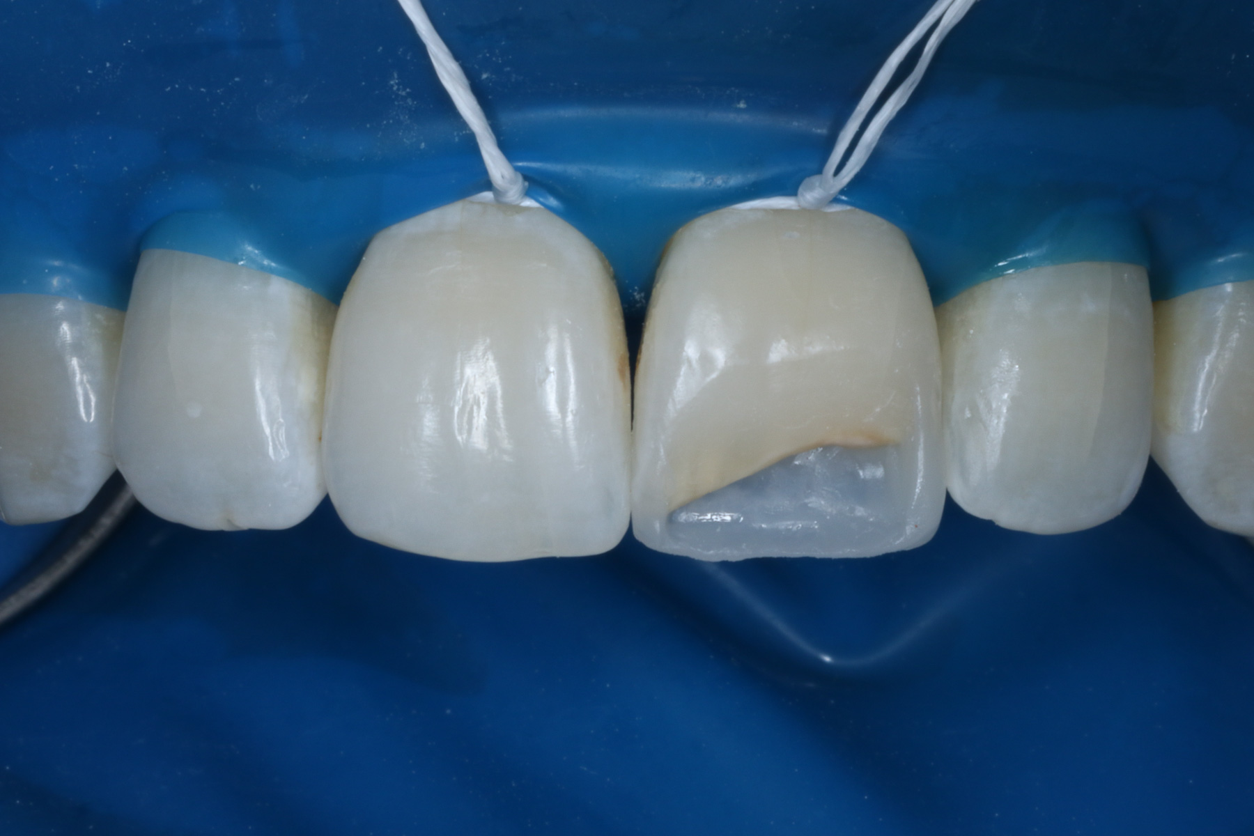
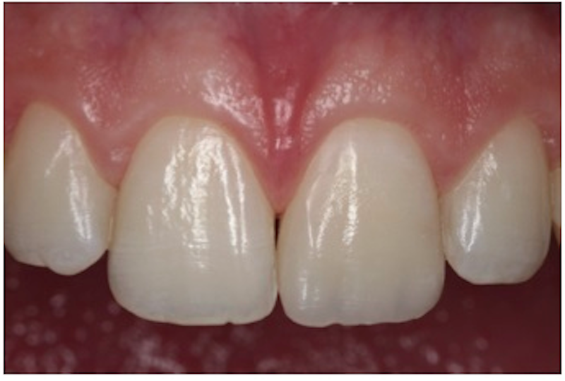
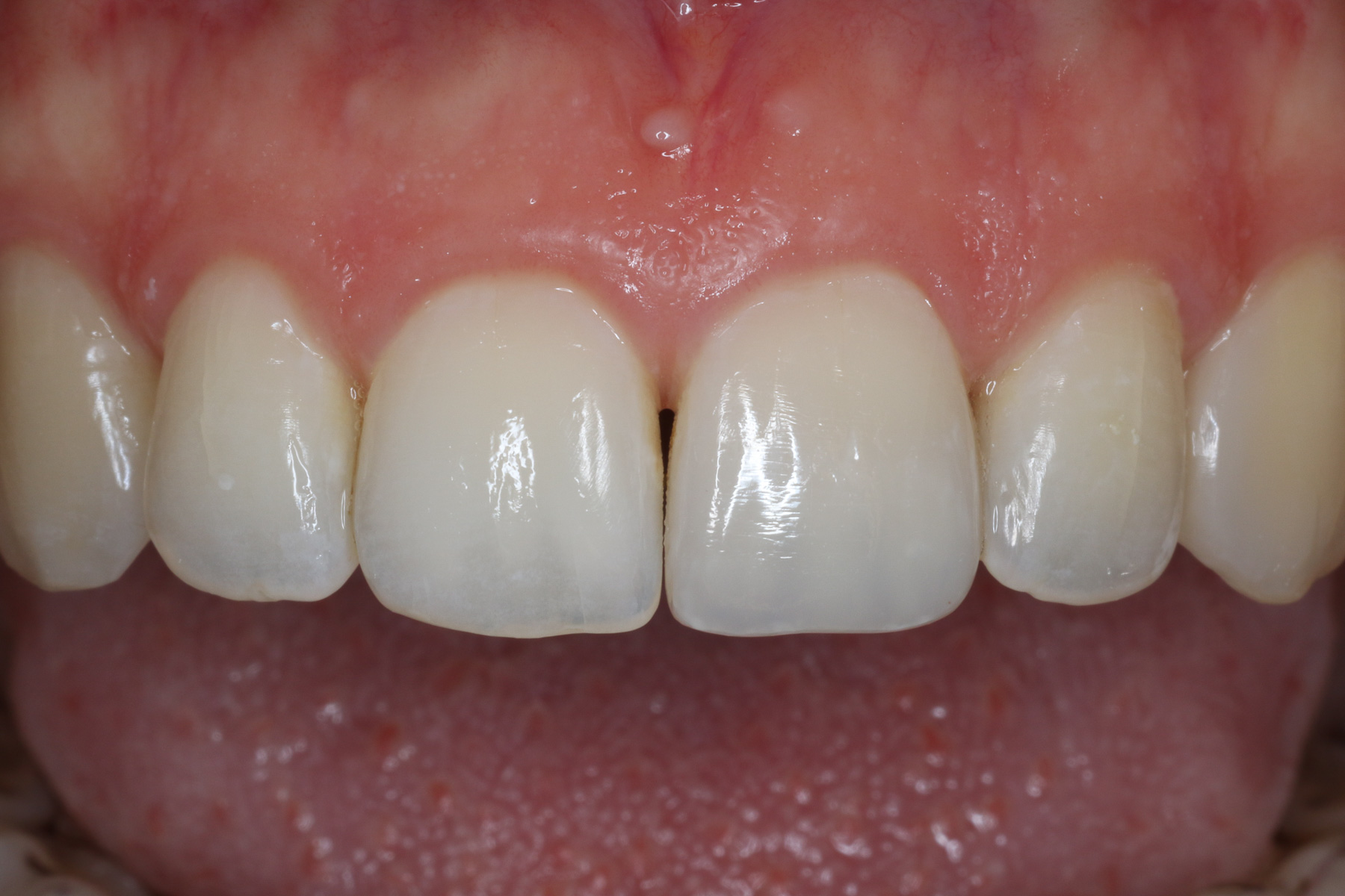
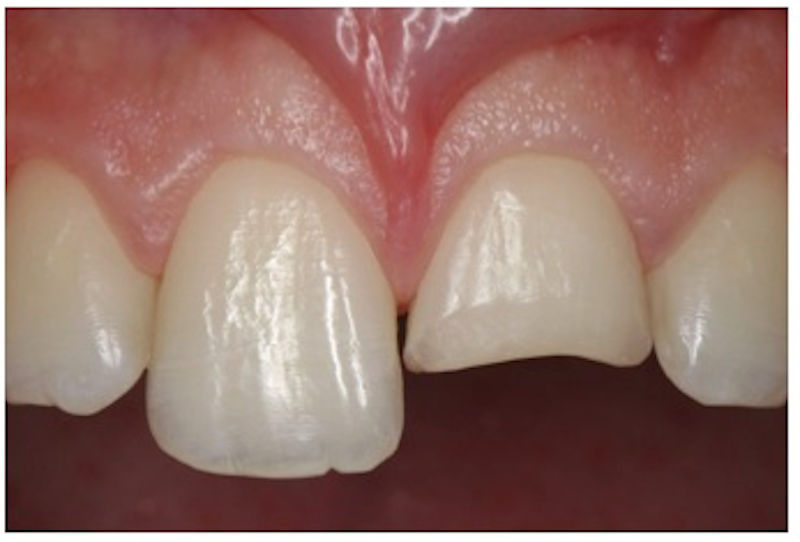
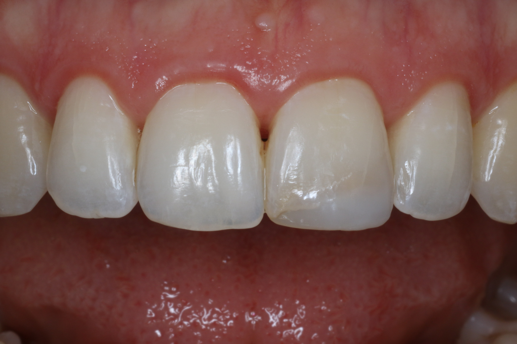
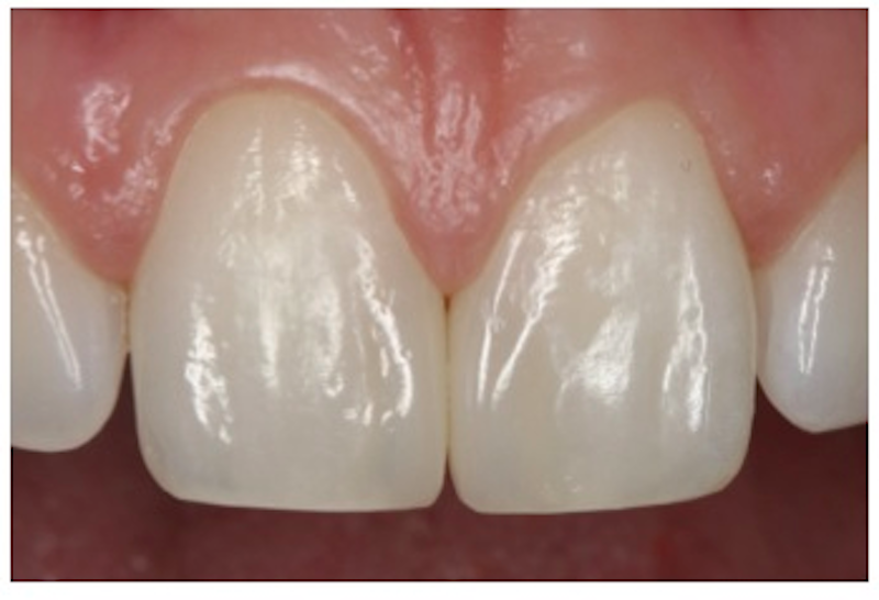
Am natürlichen Zahn angelehnte Schichttechniken schaffen die Voraussetzungen für vorhersagbare ästhetische Resultate. Nicht alles was möglich ist, ist auch sinnvoll, aber vieles was sinnvoll ist, wird auch machbar – mit einem konsequenten, standardisierten Vorgehen. Es werden die vielen kleinen Details besprochen und gezeigt, die entscheidend sind, um die Vorteile des gewählten Ästhetikkomposits auch tatsächlich ausnutzen zu können. Der ausführliche praktische Teil beinhaltet den Aufbau frakturierter Frontzähne sowie das Schließen von Lücken an einem speziellen Ästhetikmodell - step by step. Besonders wird auf die Herstellung einer naturgetreuen Makro- und Mikromorphologie der Oberfläche wert gelegt.

Praktischer Kursteil:

Nach dem theoretischen Abschnitt am Freitag im Seminarraum der DGKiZ haben die Teilnehmer am Samstag die Möglichkeit im Phantomraum der Zahnklinik Würzburg die verschiedenen Methoden der ästhetischen Zahnheilkunde an vorbereiteten 3D-Modellen unter intensiver Betreuung selbst auszuprobieren und einzuüben.

Die einzelnen Arbeitsschritte werden step-by-step erklärt und in Videosequenzen demonstriert.

Alle Materialen und Instrumente werden gestellt.

 

 

 

Hotels in unmittelbarer Nähe zur DGKiZ-Geschäftsstelle:

Premier Inn Würzburg  (Sonderkonditionen für Kursteilnehmer/innen der DGKiZ, bitte bei Buchung angeben: DGKiZ + 15024001)

AC-Hotel by Marriot Würzburg     

Moxy-Hotel by Marriot Würzburg

 

 

 

Kursgebühr:

Teilnehmer Preis
Zahnarzt/ärztin (DGKiZ-Mitglied)
595,00 €
Zahnarzt/ärztin (Nichtmitglied)
680,00 €

Referent:

Prof. Dr. Gabriel Krastl
Universitätsklinikum Würzburg

1993-1998 Studium der Zahnheilkunde in Tübingen 
1998-2005 Wissenschaftlicher Assistent und ab 2002 Oberarzt der Poliklinik für Zahnerhaltung, Universitätsklinikum Tübingen
2005-2014 Oberarzt, Klinik für Parodontologie, Endodontologie und Kariologie, Basel       
Leiter Fachgruppe Kariologie
2006-2014 Gründung und Leitung des Zahnunfall-Zentrums Basel zusammen mit Prof. Dr. A. Filippi
2012 Forschungsjahr Department of Oral Surgery / Biomaterials Unit, School of Dentistry, University of Birmingham, United Kingdom
seit 2014 Direktor der Poliklinik für Zahnerhaltung und Parodontologie der Universität Würzburg
seit 2015 Gründung und Leitung des Zahnunfallzentrums Würzburg

Prof. Dr. Gabriel Krastl

Kursrichtlinien:

Die maximale Teilnehmerzahl ist begrenzt. Die Kursplätze werden in der zeitlichen Reihenfolge der Anmeldungen vergeben. Sollte der Kurs ausgebucht sein, werden Sie darüber informiert und auf Wunsch auf eine Warteliste eingetragen. Falls die Mindestteilnehmerzahl nicht erreicht werden sollte, werden Sie spätestens 10 Tage vorher angeschrieben und die Kursgebühr vollständig zurückgezahlt.

Die Kursgebühr wird nach Erteilung eines SEPA-Mandats etwa 12 Wochen vor Kurstermin durch Lastschrift eingezogen. Wird der Kurs vom Teilnehmer/von der Teilnehmerin bzw. vom Anmelder ab dem Einzugstag bis 8 Wochen vor dem Kurstermin storniert, wird eine Bearbeitungsgebühr von 100,-- € fällig, die bei Rücküberweisung verrechnet wird. Die Stornierung eines gebuchten Kurses durch den/die Teilnehmer/in muss schriftlich erfolgen. Ab 8 Wochen vor dem Kursbeginn, sowie bei Nichterscheinen, ist die volle Kursgebühr zu bezahlen. Die Benennung eines Ersatzteilnehmers ist bis zum Kursbeginn möglich.

Falls eine Veranstaltung aufgrund "höherer Gewalt", Erkrankung des Referenten oder vergleichbar zwingenden Gründen abgesagt werden muss, werden die Teilnehmer schnellstmöglichst darüber informiert und bereits bezahlte Kursgebühren zurückerstattet.

Anmeldung zum Kurs